Come Prevenire E Curare La Gengivite | Kena Clinics
Disponibile
Disponibile
€ 9
AGGIUNGI AL CARRELLO
Consegna
- Corriere espressoda martedì 17 febbraioGRATIS
Venduto e spedito da ePRICE

Altri 13 venditori a partire da € 9
- Informazioni legali
- Ne hai uno da vendere?
- 674059
- 22405292776
Pensati per Te
Prodotti simili
Descrizione
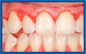
Scovolini Interdentali Gum Come Prevenire E Curare La Gengivite | Kena Clinics Trattamento Gengivale Olio Model: Herbal Dentist Tooth and Gum Oil, Colour: Clear, Custom Bundle: No, Item Height: 6., 68 cm, Item Width: 2., 54 cm, Material: Oil, Type: Denture Cleanser Gengive Ritirate: Cause, Rimedi e Prevenzione | Biodental La gengivite è un'infiammazione comune delle gengive che può colpire persone di tutte le età. Solitamente non causa sintomi evidenti, ma talvolta provoca una maggiore sensibilità gengivale agli stimoli meccanici. I segni più frequenti includono rossore, gonfiore e sanguinamento gengivale, soprattutto durante le manovre di igiene orale domiciliare. Se non trattata adeguatamente, può... Features: Immediate relief from oral pain, Treatment for Bad Breath, Treatment for Gingivitis, Excellent Treatment for Gum disease, Contains calcium, magnesium, and phosphorus, Stain Removal, MPN: HD-01, Brand: Herbal Dentist La confezione deve essere la stessa che si può trovare in negozio, a meno che l'oggetto non sia stato confezionato dal produttore in una confezione anonima, come una busta di plastica o una scatola senza stampa. Tra i farmaci per la gengivite troviamo gli anti infiammatori non steroidei per ridurre il gonfiore e alleviare il dolore. Tipo l'acido...Caratteristiche e scheda tecnica
Caratteristiche principali
- EAN2737943888119
Recensioni
2026-02-14 | libk10q


















