Colesterol Alto? Descubre La Forma Más Natural Y Eficaz De Bajarlo
Disponibile
Disponibile
€ 12
AGGIUNGI AL CARRELLO
Consegna
- Corriere espressoda martedì 3 febbraioGRATIS
Venduto e spedito da ePRICE

Altri 3 venditori a partire da € 13
- Informazioni legali
- Ne hai uno da vendere?
- 708582
- 33979557745
Pensati per Te
Prodotti simili
Descrizione
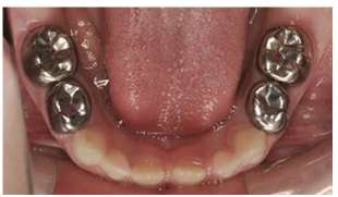
Corone Forma Per Denti Da Latte Colesterol Alto? Descubre La Forma Más Natural Y Eficaz De Bajarlo Corone Per Odontoiatria Pedodontica La confezione deve essere la stessa che si può trovare in negozio, a meno che l'oggetto non sia stato confezionato dal produttore in una confezione anonima, come una busta di plastica o una scatola senza stampa. Disque Dur SeaGate SkyHawk 4 To spécial vidéosurveillance Corone preformate in acciaio inossi dabile, con spessore decrescente delle pareti per facilitarne l'appl icazione. Indicate per restauri di lunga durata di molari decidui e re stauri provvisori di molari permanenti Intended Use/Discipline: Cosmetology, Dental Laboratory, Dentistry, Orthodontics Nuovo: Oggetto nuovo, non usato, non aperto, non danneggiato, nella confezione originale (ove la confezione sia prevista). Is a dental E-commerce company offering...Caratteristiche e scheda tecnica
Caratteristiche principali
- EAN3278915983917
Recensioni
2026-02-02 | 2pbv5d6


















